El proyecto ‘AP_Cuida2’ busca facilitar la continuidad asistencial en los pacientes dados de alta tras un proceso de hospitalización El…
‘Curanderas, tradiciones de sanación’ de Beatriz Chinea se estrenó este 8 de marzo por el Día Internacional de la Mujer…
Durante la jornada se puso de relieve el trabajo que realizan los logopedas en la Unidad de Disfagia del centro…
En la madrugada del domingo se produjo un incendio en el Consultorio Periférico de Las Galletas, cuyas causas están por…
Este material permite proporcionar una atención adecuada ante partos sobrevenidos que requieran asistencia en el ámbito de urgencias de Atención…
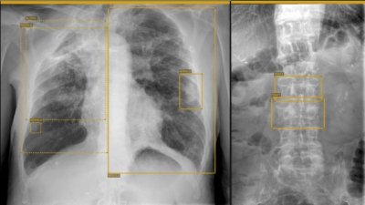
Esta solución permitirá valorar las lesiones óseas traumáticas y tumorales así como patologías en el entorno de la ortopedia y…
Profesionales del quirófano de Cirugía General y Digestiva implementan un sistema de reciclaje de plástico y papel Son varios los…
De los 4.190 incidentes registrados en la isla, 1.657 fueron resueltos mediante la teleasistencia prestada por los coordinadores sanitarios El…
Esta Jornada de Puertas Abiertas comienza mañana miércoles, 6 de marzo, en formato telemático y el 18 de marzo de…
El procedimiento se realiza quirúrgicamente y consiste en el implante de un dispositivo subcutáneo (igual a un marcapasos) con un…