
La popular y veterana emisora de radio "Radio faro del Noroeste" sigue su proyección hacia una mayor ampliación de su cobertura.
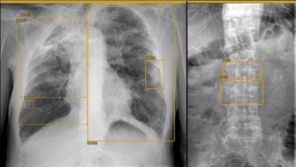
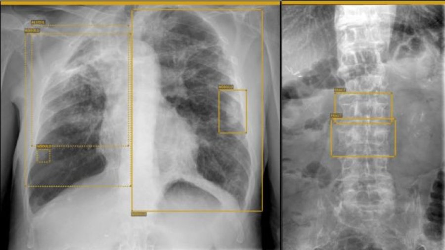
Esta solución permitirá valorar las lesiones óseas traumáticas y tumorales así como patologías en el entorno de la ortopedia y rehabilitación y toda la radiología de tórax
El Hospital Universitario Nuestra Señora de Candelaria, centro adscrito a la Consejería de Sanidad del Gobierno de Canarias, ha implantado en el servicio de Radiología un proyecto piloto, en coordinación con la empresa GLEAMER, mediante el cual se empleará la inteligencia artificial para mejorar la detección de lesiones.
Entre ellas se podrán valorar lesiones óseas traumáticas y tumorales, además de patologías en el entorno de la ortopedia y la rehabilitación (dismetrías o escoliosis…) y la radiología de tórax que se realiza en el ámbito de Urgencias (neumonías, tumores, derrames, etc.).
Este proyecto surge de la colaboración entre los servicios de Radiología y de Tecnologías de la Información y Comunicaciones, en su apuesta por la transformación digital y el uso de herramientas de ayuda al diagnóstico basadas en inteligencia artificial.
Con su implantación se consigue que sea la IA la que realice unos cálculos necesarios para conocer los grados de escoliosis o diferencia de altura en la cadera del paciente, entre otros aspectos. Esto lo suele llevar a cabo el rehabilitador, cuyo tiempo puede ahora invertir en una mayor atención en el paciente.
Asimismo, se optimiza el tiempo de respuesta del especialista y aumenta la confianza y la seguridad de la prueba diagnóstica, ya que la IA ayuda al profesional que está realizándola, proporcionando una doble visión de la prueba y localizando con mayor probabilidad una patología, aumentando la calidad diagnóstica del paciente.

La popular y veterana emisora de radio "Radio faro del Noroeste" sigue su proyección hacia una mayor ampliación de su cobertura.